部分矯正

診療
時間

【平日】 10:00-13:00/15:00-19:30

【土日】 10:00-13:00/14:00-18:00

※休診日:月曜、祝日

前歯の隙間やガタつきを短期間・低価格で治す部分矯正。気になる箇所だけを整える渋谷のプチ矯正

お電話でのご予約・ご相談 03-6455-2383 ※13:00~15:00は電話が繋がりません

「気になる部分」だけの矯正

  • 「3ヵ月~1年以内」に治療終了
  • 11万円~の部分矯正
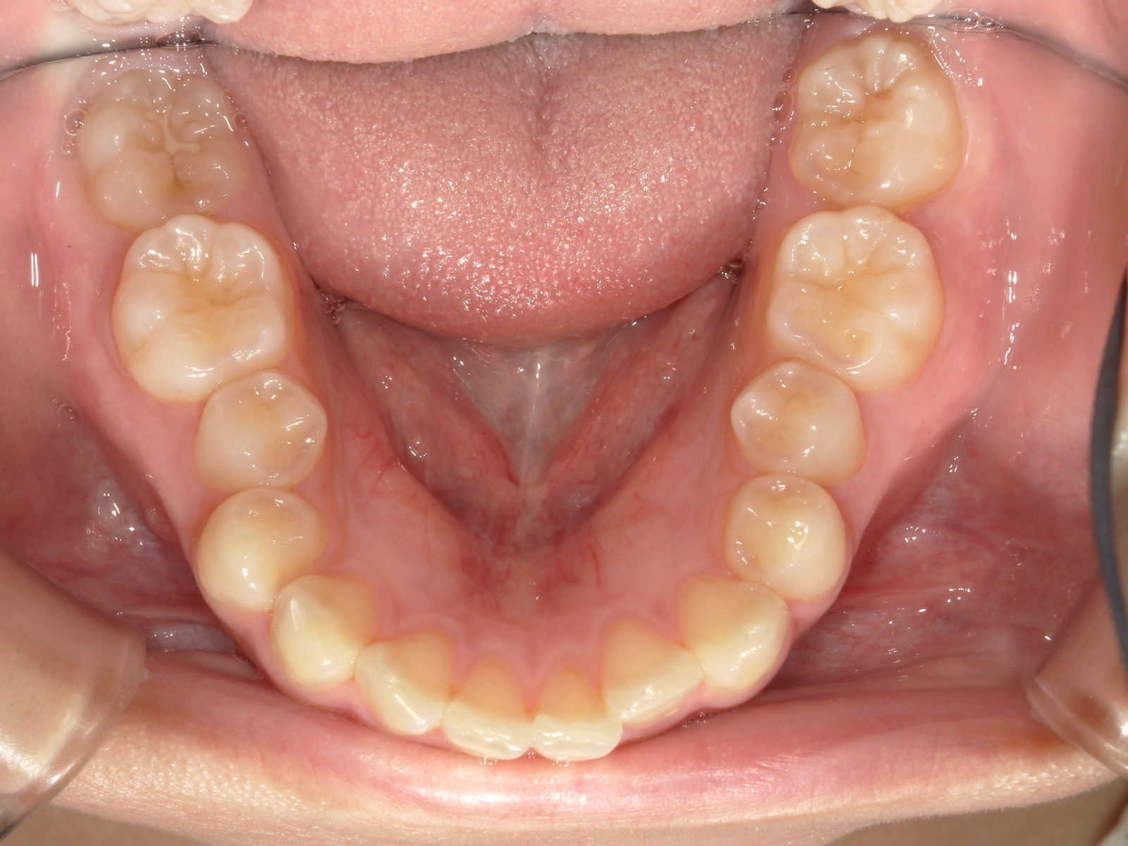
  • 治療前
  • 治療後
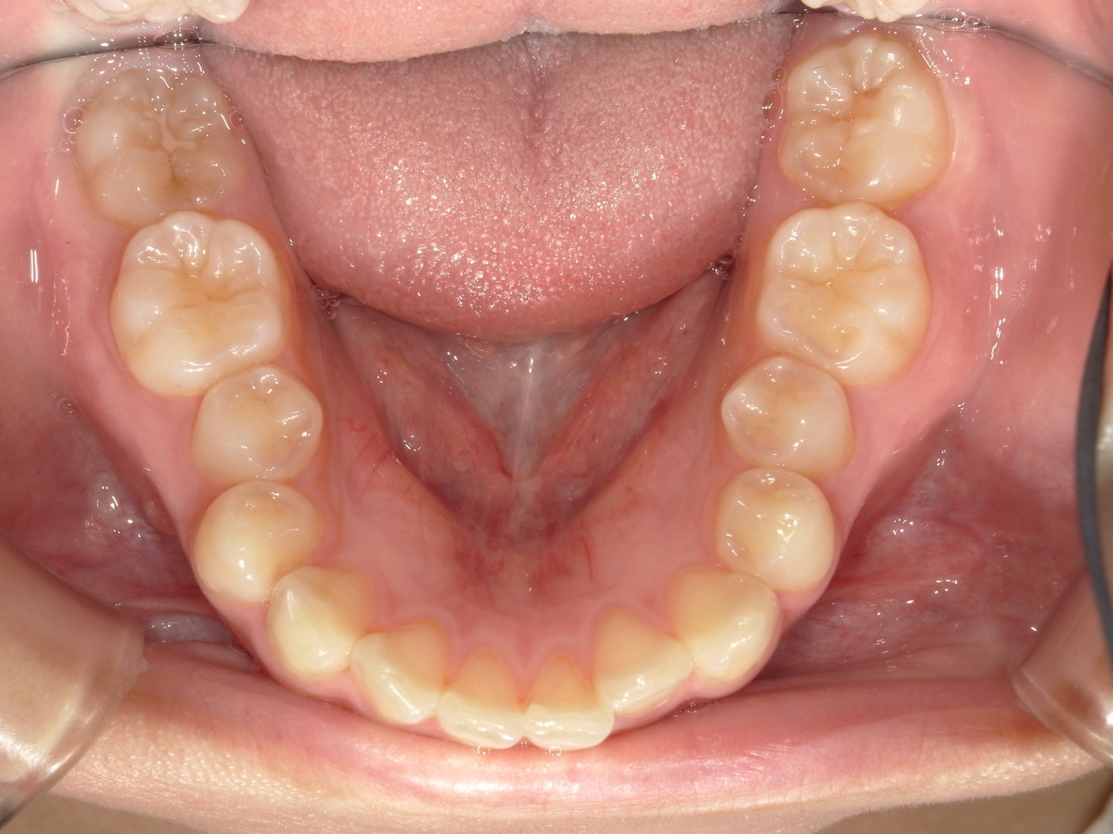
【主訴】出っ歯が気になる
【診断結果】上顎前突
【治療開始時の年齢】18歳
【治療内容】マウスピース型 (カスタムメイド) 矯正装置
【抜歯部位】上下左右4番目
【治療経過】後戻り無
【治療期間】2年
【治療費用】882,200円
【リスク・副作用】
治療初期の段階では痛みや不快感が生じる可能性がある。適切に歯磨きをしないと虫歯になる可能性が高くなる。個人差により予想された治療期間より長くなる場合がある。治療後はリテーナーを装着しないと後戻りしてしまうリスクがある。
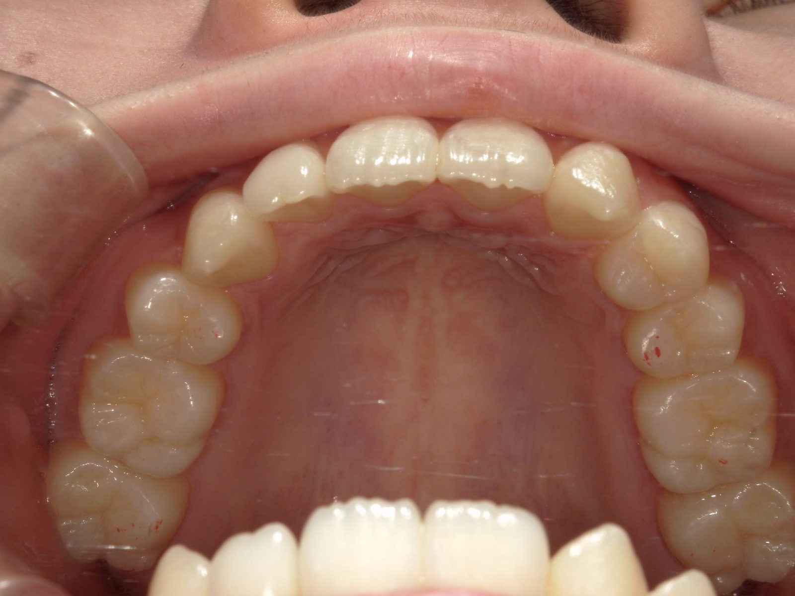
  • 治療前
  • 治療後
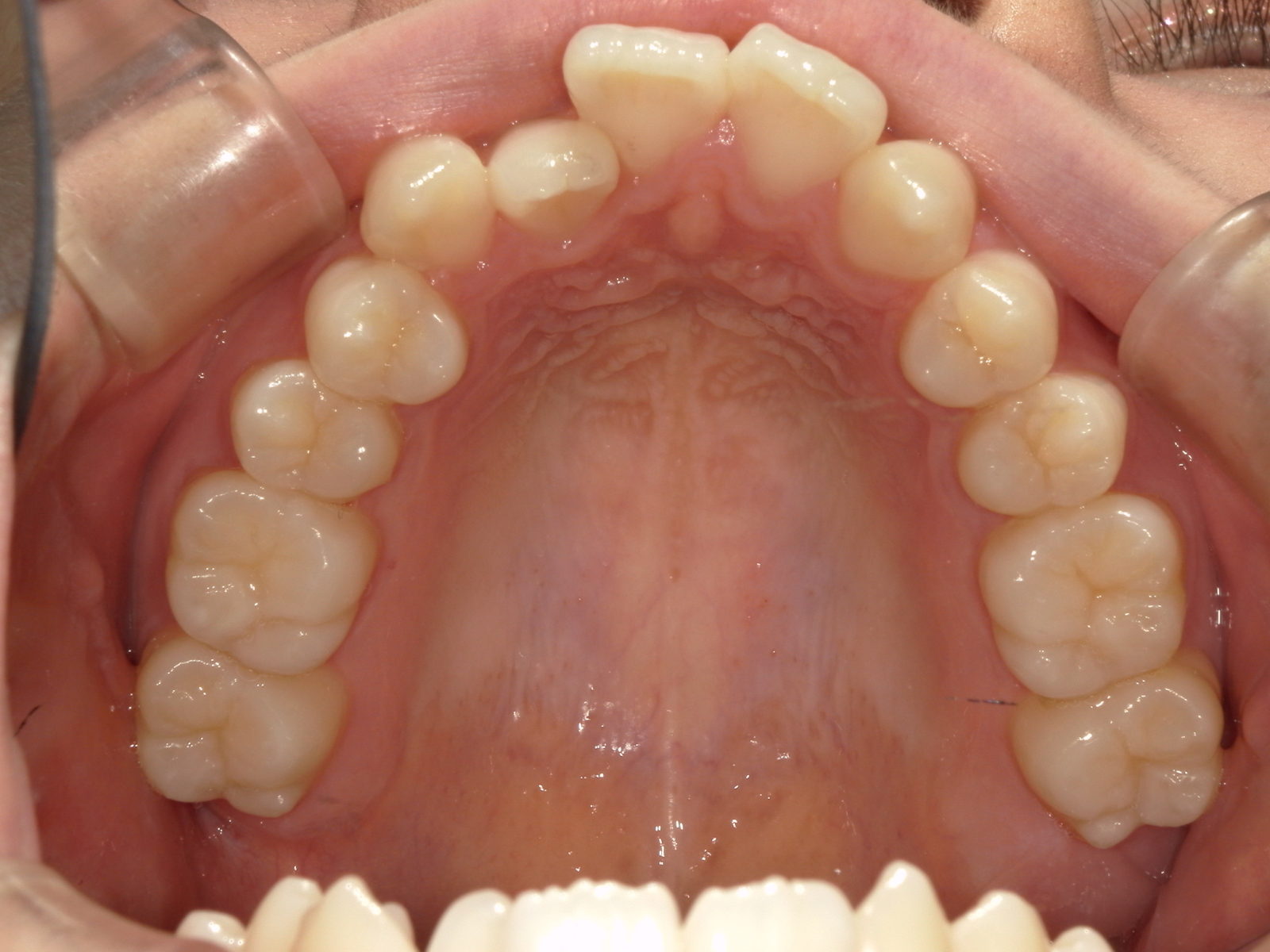
【主訴】前歯のガタツキが気になる
【診断結果】叢生
【治療開始時の年齢】20歳
【治療内容】マウスピース型 (カスタムメイド) 矯正装置
【抜歯部位】上下左右4番目
【治療経過】後戻り無
【治療期間】2年
【治療費用】937,200円
【リスク・副作用】
治療初期の段階では痛みや不快感が生じる可能性がある。適切に歯磨きをしないと虫歯になる可能性が高くなる。個人差により予想された治療期間より長くなる場合がある。治療後はリテーナーを装着しないと後戻りしてしまうリスクがある。
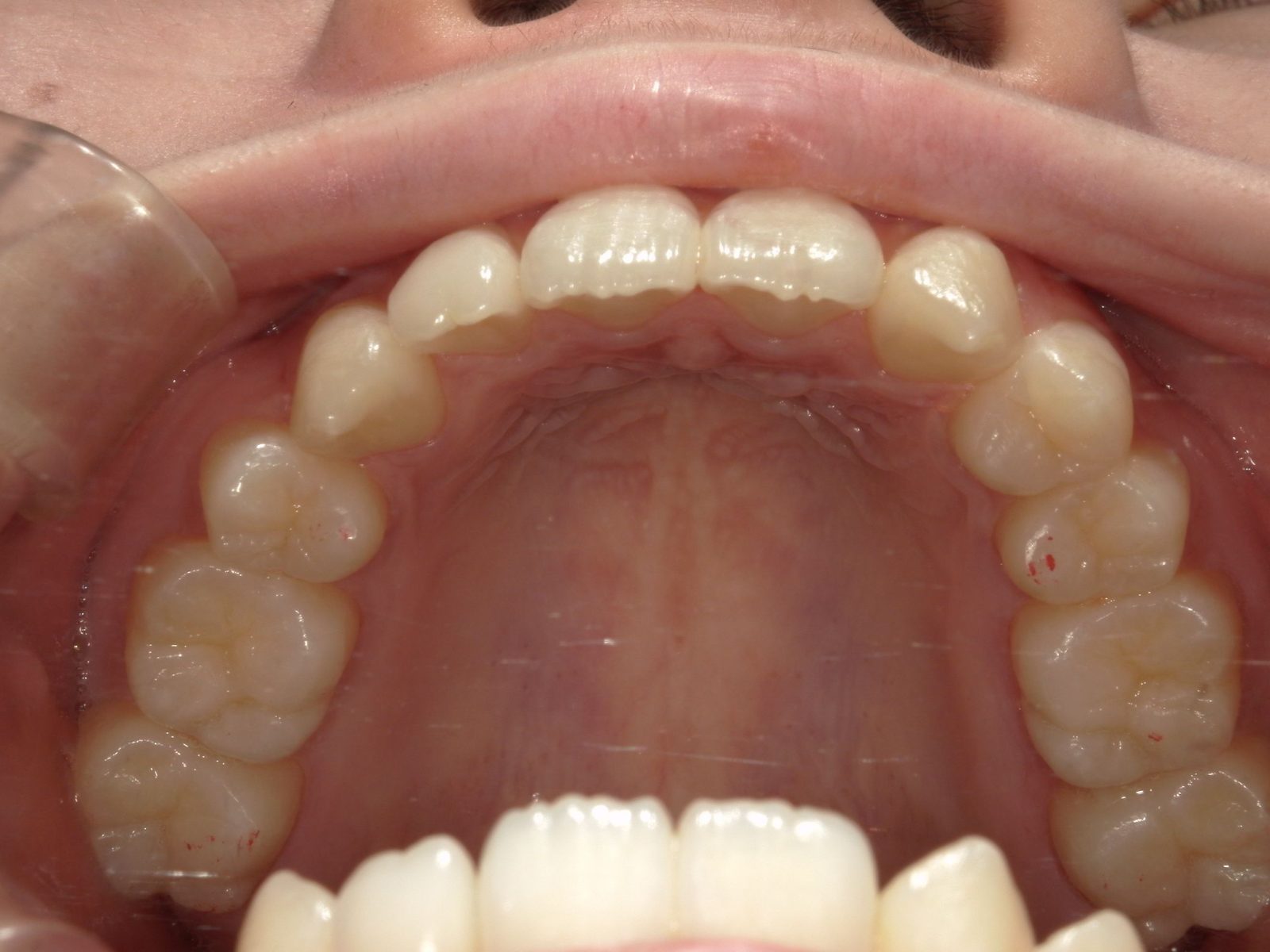
  • 治療前
  • 治療後
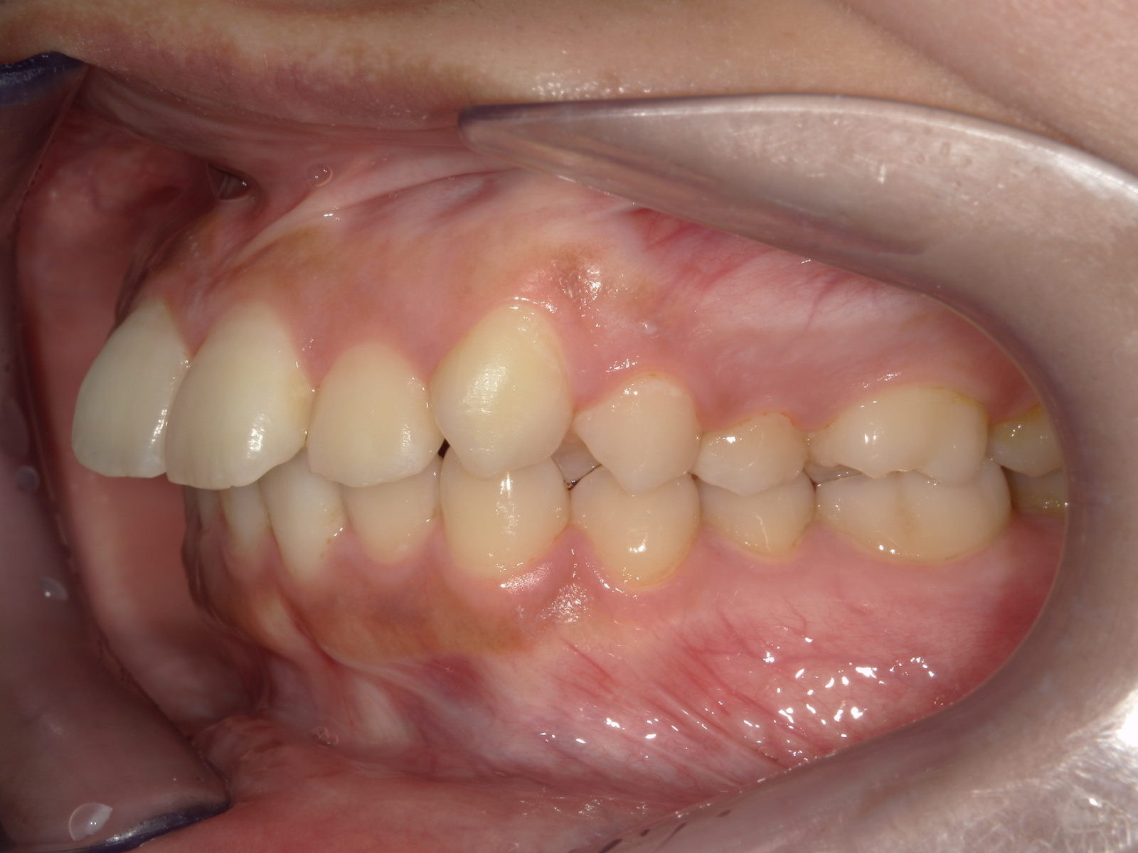
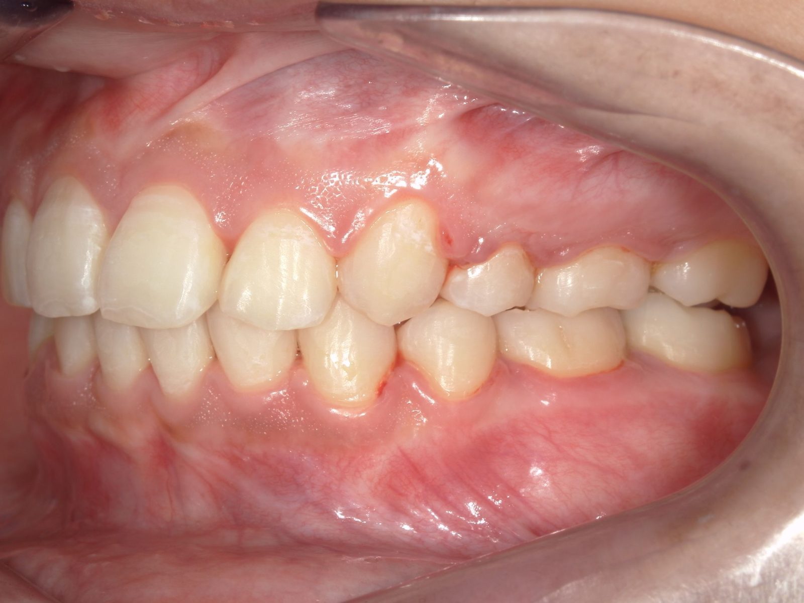
【主訴】前歯の歯並びが気になる
【診断結果】叢生
【治療開始時の年齢】24歳
【治療内容】マウスピース型 (カスタムメイド) 矯正装置
【抜歯部位】上下左右4番目
【治療経過】後戻り無
【治療期間】2年
【治療費用】882,200円
【リスク・副作用】
治療初期の段階では痛みや不快感が生じる可能性がある。適切に歯磨きをしないと虫歯になる可能性が高くなる。個人差により予想された治療期間より長くなる場合がある。治療後はリテーナーを装着しないと後戻りしてしまうリスクがある。
マウスピース矯正/ワイヤー矯正 個別相談

「前歯の部分矯正」~気になる部分だけの治療

  • すきっ歯

    すきっ歯

  • 八重歯

    八重歯

  • 出っ歯

    出っ歯

粟田先生(歯科医師)

「出っ歯の部分だけ気になる・・・」「前歯に隙間がある・・・」「八重歯を改善したい・・・」といった歯並びの一部に対して悩みがある方には、「部分矯正」が適しているかもしれません。

部分矯正は、動かす歯が少ないため、「短期間」かつ「低価格」での治療が可能なことが多いです。ただし、歯並びの状態によっては対応できないケースもありますので、まずはお気軽にご相談ください。

ここからは、部分矯正の具体的なメリットについてご紹介します。

メリット1「低価格」で治療できる

全体的な矯正と比べて部分的な矯正なので、大幅に価格を抑えることができます。当院では歯並びの状態によりますが11万円~55万円が価格帯になっています。

メリット2「目立たない」装置を利用できる

インビザラインGo

以前の矯正治療は、ブラケットやワイヤーの「金属が目立つ」のが一般的でした。しかし、当院では透明で目立ちにくい「マウスピース型 (カスタムメイド) 矯正装置」を使用しています。そのため、周りの人に気づかれずに矯正治療を受けることができます。詳細は「マウスピース型 (カスタムメイド) 矯正装置」をご覧ください。また、目立たない「ワイヤー矯正」での部分矯正も行っています。

メリット3治療期間が短期間でできる

粟田先生と患者さんの画像

部分矯正は症状が軽く、比較的動かしやすい「前歯部分」を対象とするため、歯の移動が少なくて済みます。その結果、全体矯正では通常2〜2年半かかるところを、部分矯正では「3ヶ月〜12ヶ月」で治療が完了することができます。結婚式や就職活動など、大切なイベントを控えている方にも大変好評です。

メリット4痛みが少ない

歯の痛みを訴える女性

歯は歯肉の中に「歯根」という根っこが埋まっています。「全体矯正」では前歯だけでなく、しっかりと根付いている奥歯も動かすため、痛みが出やすい傾向があります。一方、「部分矯正」では主に前歯のみを動かすため、動かす歯が少なく、痛みが少なく済む場合が多いです。

矯正治療の「専門家」が担当します

今井先生、水谷先生、粟田先生

部分矯正に限らずですが、矯正治療は咬合(噛み合わせ)に影響を与えることがあります。そのため、矯正に関する深い知識と高い技術が求められます。当院では、矯正治療を専門的に学んだ歯科医師が複数在籍している他、日本矯正歯科学会「認定医」も在籍しているため、さまざまなケースに対応できます。歯並びでお悩みの方は、お気軽にご相談ください。

コラムPBMで矯正の「治療期間を短縮」

光加速装置の画像

歯列矯正は治療期間が長いというイメージをお持ちの患者さんは多いと思います。当院では、治療期間を短縮するために「PBM」と呼ばれる装置を導入しています。「光加速装置」とも呼ばれるこの装置は、近赤外線の力で歯を動きやすくし、治療期間を短縮する目的で使用します。

具体的には、近赤外線は歯の移動に関与する細胞を活性化し、血流を促進する効果があります。これにより歯の動きが効率的になり、治療期間が大幅に短縮されます。

個人差はありますが、治療期間が最大で1/3に短縮されることもあります。使用方法も簡単で、上下の歯茎に1日10分間光を当てるだけです。矯正治療の期間を短縮したい方は、ぜひお気軽にお問い合わせください。

初診「個別」相談へのご案内

当院では、患者さんが抱えていらっしゃるお口のお悩みや疑問・不安などにお応えする機会を設けております。どんなことでも構いませんので、私たちにお話ししていただけたらと思います。
ご興味がある方は下記からお問い合わせください。

お電話でのご予約・ご相談 03-6455-2383※13:00~15:00は電話が繋がりません

〒150-0041
東京都渋谷区神南1丁目20番17号BC神南 PROPERTY 6F