装置を「歯の裏」に装着する
裏側矯正
- 前歯が引っ込みやすい矯正
- 目立ちにくい
- 虫歯になりにくい矯正
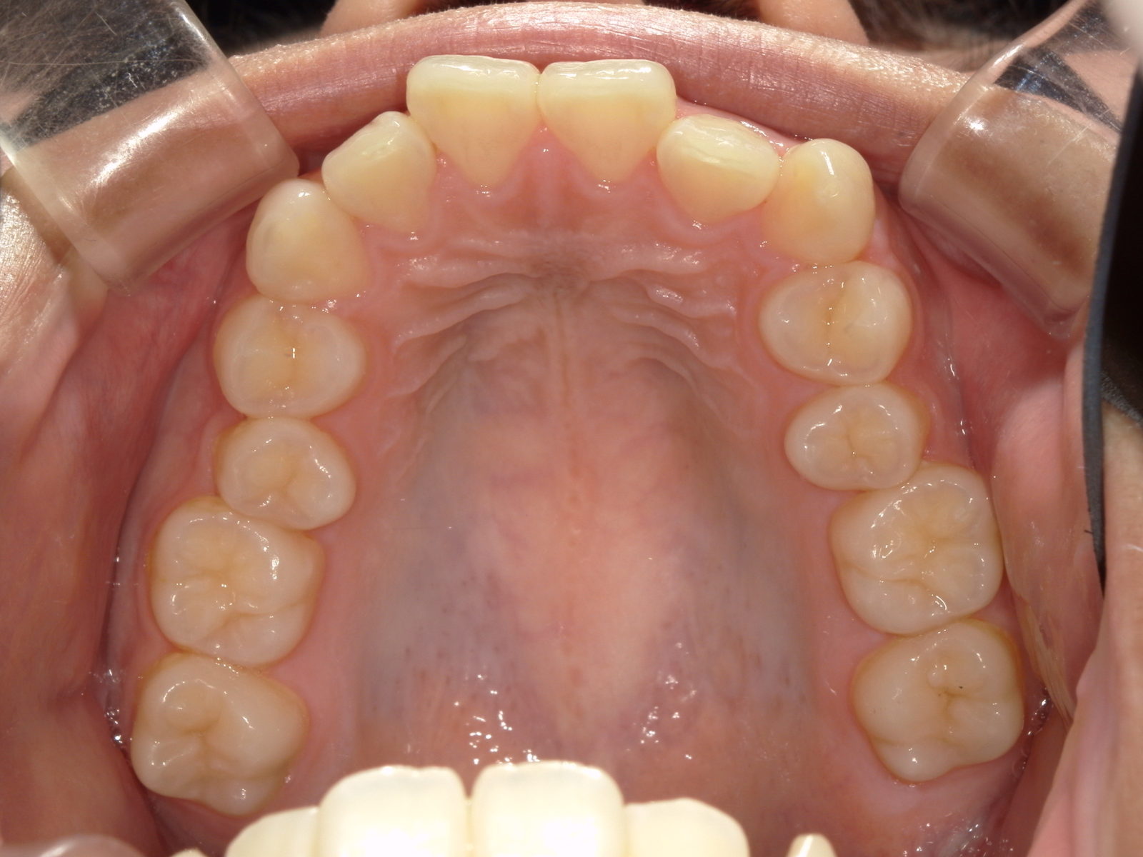
【主訴】歯のガタつき
【診断結果】叢生
【治療開始時の年齢】31歳
【治療内容】表側ワイヤー矯正
【抜歯部位】上下左右4番目
【治療経過】後戻り無
【治療期間】1年9か月
【治療費用】961,400円
【リスク・副作用】
治療初期の段階では痛みや不快感が生じる可能性がある。適切に歯磨きをしないと虫歯になる可能性が高くなる。個人差により予想された治療期間より長くなる場合がある。治療後はリテーナーを装着しないと後戻りしてしまうリスクがある。
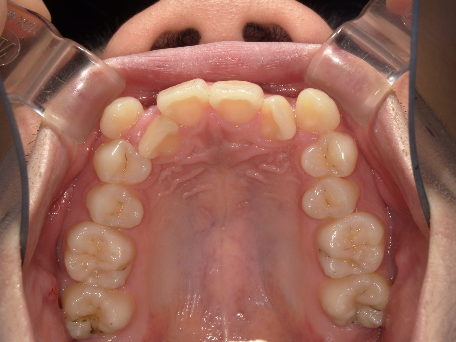
【主訴】八重歯が気になる
【診断結果】叢生
【治療開始時の年齢】38歳
【治療内容】表側ワイヤー矯正
【抜歯部位】上下左右4番目
【治療経過】後戻り無
【治療期間】2年6か月
【治療費用】1,111,000円
【リスク・副作用】
治療初期の段階では痛みや不快感が生じる可能性がある。適切に歯磨きをしないと虫歯になる可能性が高くなる。個人差により予想された治療期間より長くなる場合がある。治療後はリテーナーを装着しないと後戻りしてしまうリスクがある。
歯の裏側に装置を付ける「裏側矯正」
「裏側矯正」とは、歯の裏側にブラケットを装着するワイヤー矯正の一種です。「舌側矯正」や「リンガル矯正」とも呼ばれています。
裏側矯正は装置が表から見えないため、人前で話す機会が多い方や接客業の方、矯正治療を行っていることを周りに知られたくない方に最適です。
ただし、裏側矯正は専門的な技術と知識が必要とされるため、対応できる矯正医が限られています。当院ではこの治療法にも対応しております。当院の矯正担当医をご紹介します。
矯正「担当医」のご紹介
水谷 倫康
資格・所属学会・団体
- インコグニート舌側矯正 認定医
- winシステム舌側矯正 認定医
- 日本矯正歯科学会 所属
- 日本成人矯正歯科学会 所属
- 日本顎咬合学会 所属
- 日本外傷歯学会 認定医
- 日本アンチエイジング歯科学会 所属
- 日本歯科審美学会 所属
- 厚生労働省認定臨床研修 指導医
- 日本咬合学会咬み合わせ 認定医
栗田 哲也
経歴
|
広島大学歯学部歯学科 卒業 |
|
広島大学大学院医歯薬学総合研究科博士過程 修了 |
|
歯学博士 |
|
厚生労働省 老健局老人保健課 医療介護連携技術推進官 |
|
厚生労働省 関東信越厚生局健康福祉部医事課 臨床研修審査員 |
資格・所属学会・団体
- 日本矯正歯科学会 認定医
- 中・四国矯正歯科学会 所属
- 日本顎関節学会 所属
- 日本口蓋裂学会 所属
当院の「裏側矯正」治療に対するこだわり
こだわり1フルオーダーの装置を使用
当院の裏側矯正は、患者さんお一人おひとりの歯の形状に合わせて装置をカスタイマイズした装置を使用します。既成の装置と異なり、患者さんの歯にぴったりフィットする矯正装置ですので、装置を装着した際の違和感や痛み、発音障害が起こりにくいです。
こだわり2「WEBCEPH」による診査・診断
当院では「WEBCEPH(ウェブセフ)」と呼ばれる診断ツールを活用し、診査・診断を行っています。ウェブセフは、AIを活用した分析ソフトの一種です。
具体的には、頭部全体の側面や正面を撮影し、骨格や歯の位置関係、顎の状態を確認する「セファロ」と呼ばれるレントゲンや「CT」で撮影した情報をAIによって分析する、というものです。
治療精度を高めるためには、綿密な治療計画を立てることが重要です。AIによる分析と、経験豊富な歯科医師の知見を掛け合わせて、緻密な治療計画を立案しています。
こだわり3矯正用アンカースクリューを使用
全てのケースではありませんが、当院では必要に応じて「インプラントアンカー」を使用します。インプラントアンカーは顎や歯茎に小さなネジを埋入します。こうすることで、安定的な固定源を確保できるため、他の歯に影響を与えず、特定の歯を効率的に動かせます。
また、他の歯を支点にしないため、歯にかかる余計な負担が軽減されます。
裏側矯正の「メリット」と「デメリット」
メリット1装置が目立ちにくい
歯の裏側に装置をつけるため、周囲に矯正治療していることがわかりづらいです。営業職の方や接客業の方など、仕事の関係で装置が目立つのを避けたいという方にもおすすめです。
また、上の歯だけを「舌側矯正」にし、下の歯は外側に装置をつける「ハーフリンガル」という方法もあります。
メリット2「前歯」を引っ込めやすい
前歯が突出している場合、歯を抜いてスペースを作り、そのスペースに前歯を移動させます。表側矯正では、固定源である奥歯が逆に引っ張られてしまうことがあり、移動のコントロールが難しい場合があります。
一方、裏側矯正は、固定源となる歯を後方へ引き込むのが得意であり、比較的スムーズに歯を移動させることができます。
メリット3「舌癖」を防止する
実は「舌の癖」が出っ歯の原因になることがあります。舌の癖があると、舌が常に「歯の裏側」を押し続けてしまうのですが、舌が歯に圧力をかけ続けると歯が前方に傾いて「出っ歯」になります。この「舌の癖」を治さない限り、いくら歯並びを改善しても「後戻り」が生じてしまいます。
裏側矯正は装置が裏側についているため、舌で歯を押す癖を抑制する効果が期待でき、装置自体が舌癖防止の役割も果たします。そのため、矯正治療中に舌の癖も改善され、装置を外した後の「後戻り」のリスクを減らすことが可能になります。
メリット4虫歯リスクが低い
「表側矯正」では矯正装置をつけることで歯磨きが難しくなり、装置の周りに歯垢が残りやすくなります。そのため、虫歯や歯周病リスクが高くなります。
しかし、歯の裏側に装置をつける「裏側矯正」は、常に唾液が循環しており、食べかすを洗い流してくれるため、細菌が増殖しにくい環境です。
それでも、通常よりは歯磨きが難しくなるため、裏側矯正でも丁寧な歯磨きが必要です。
残念ながらデメリットもあります。
デメリット1慣れるまでしゃべりにくいことがある
裏側につける装置によって、舌を裏側に当てて発音する言葉がしゃべりづらくなることがあります。以前より装置はずいぶん小さくなったため発音障害は少なくなりましたが、慣れるまで若干舌足らずな発音になることがあります。特に、さ行・た行・ら行などが難しい場合がありますが、多くの方は1週間から1カ月程度で慣れていきます。
デメリット2舌を傷つけることがある
歯の裏側に装置があるため、会話や食事の際にワイヤーが引っ掛かり、舌を傷つけてしまうことがあるため、注意が必要です。
デメリット3表側矯正より時間がかかる場合がある
表側矯正より難易度が高いため、治療に少し時間がかかってしまう場合があります。
裏側矯正とマウスピース型 (カスタムメイド) 矯正装置との「比較」
「目立ちにくい矯正」をご希望の方には、当院では裏側矯正のほかに「マウスピース型 (カスタムメイド) 矯正装置」という治療法もご提供しています。それぞれ特徴がありますのでご紹介します。
「裏側矯正」と「マウスピース型 (カスタムメイド) 矯正装置」の違い
|
|
裏側矯正
|
マウスピース型
(カスタムメイド) 矯正装置
|
|
見た目
|
表側からは全く見えない
|
目立ちにくいが近くで見るとわかる
|
|
来院頻度
|
約1か月1回
|
約2か月1回
|
|
抜歯
|
対応可能
|
対応できない場合がある
|
|
着脱
|
来院での処置で可能
|
自分でできる
|
|
虫歯のリスク
|
やや高い
装置があるので、ハミガキがしづらくなったり磨き残しが増えたりする可能性がある
|
低い
取り外し可能なので、以前と同様に歯を磨くことができる
|
上記のように、「裏側矯正」と「マウスピース型 (カスタムメイド) 矯正装置」にはさまざまな違いがあります。双方のメリットとデメリットを比較して、ご自身に合ったもの、希望するものを選択しましょう。
初診「個別」相談へのご案内
当院では、患者さんが抱えていらっしゃるお口のお悩みや疑問・不安などにお応えする機会を設けております。どんなことでも構いませんので、私たちにお話ししていただけたらと思います。
ご興味がある方は下記からお問い合わせください。
お電話でのご予約・ご相談
03-6455-2383※13:00~15:00は電話が繋がりません
〒150-0041
東京都渋谷区神南1丁目20番17号BC神南 PROPERTY 6F