ハイブリッド矯正

診療
時間

【平日】 10:00-13:00/15:00-19:30

【土日】 10:00-13:00/14:00-18:00

※休診日:月曜、祝日

ワイヤー矯正+マウスピース型 (カスタムメイド) 矯正装置の融合。渋谷の矯正歯科

お電話でのご予約・ご相談 03-6455-2383 ※13:00~15:00は電話が繋がりません

「ハイブリッド矯正」

ワイヤー矯正+マウスピース型 (カスタムメイド) 矯正装置の融合

  • ワイヤー矯正の画像
  • マウスピースの画像
  • 難症例にも対応
  • 目立たない装置
  • 治療期間が短縮することも
  • 治療前
  • 治療後
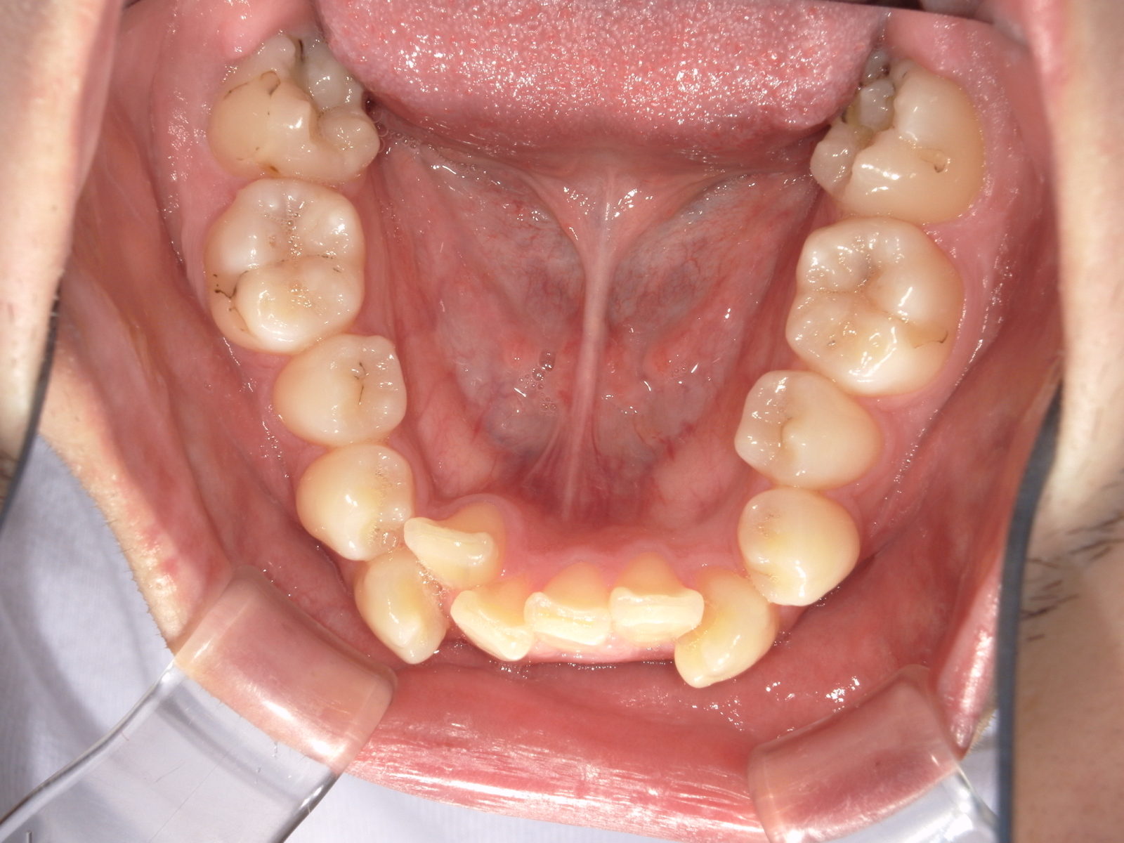
【主訴】歯のガタつき
【診断結果】叢生
【治療開始時の年齢】28歳
【治療内容】表側ワイヤー矯正+マウスピース型 (カスタムメイド) 矯正装置
【抜歯部位】上下左右4番目
【治療経過】後戻り無
【治療期間】1年11か月
【治療費用】1,001,000円
【リスク・副作用】
治療初期の段階では痛みや不快感が生じる可能性がある。適切に歯磨きをしないと虫歯になる可能性が高くなる。個人差により予想された治療期間より長くなる場合がある。治療後はリテーナーを装着しないと後戻りしてしまうリスクがある。
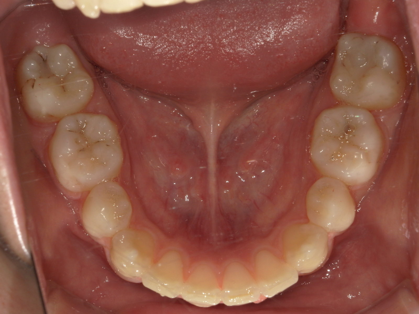
  • 治療前
  • 治療後
【主訴】歯のガタつき
【診断結果】叢生
【治療開始時の年齢】33歳
【治療内容】表側ワイヤー矯正+マウスピース型 (カスタムメイド) 矯正装置
【抜歯部位】上下左右4番目
【治療経過】後戻り無
【治療期間】2年6ヶ月
【治療費用】1,111,000円
【リスク・副作用】
治療初期の段階では痛みや不快感が生じる可能性がある。適切に歯磨きをしないと虫歯になる可能性が高くなる。個人差により予想された治療期間より長くなる場合がある。治療後はリテーナーを装着しないと後戻りしてしまうリスクがある。
マウスピース矯正/ワイヤー矯正 個別相談

ワイヤー矯正とマウスピース型 (カスタムメイド) 矯正装置を併用する「ハイブリッド矯正」

粟田先生(歯科医師)

「効率よく矯正治療を行いたい」
「できるだけ見た目が気にならない装置を使用したい」

こうした患者さんにおすすめしている治療法の一つに「ハイブリッド矯正」と呼ばれる治療法があります。この治療法は、ワイヤー矯正とマウスピース型 (カスタムメイド) 矯正装置の「メリット」を融合した治療法です。具体的には、次のような特長があります。

「ワイヤー矯正」のメリット

ワイヤー矯正イラスト

ワイヤー矯正は、歯を大きく動かすことに優れている治療法です。また、幅広い症例にも対応しています。

一方、マウスピース型 (カスタムメイド) 矯正装置は、ケースによっては歯を大きく動かすことが難しい場合があります。そのため、最初にワイヤー矯正で歯を動かし、その後にマウスピース型 (カスタムメイド) 矯正装置で行うことで、効率的に治療を進めることができます。

「マウスピース型 (カスタムメイド) 矯正装置」のメリット

マウスピースの画像

マウスピース型 (カスタムメイド) 矯正装置は細かい歯の調整に適した治療法です。また透明で目立ちにくいため、治療中でも見た目を気にせずに済みます。食事や歯磨きの際には簡単に取り外せるので、治療を進めながら食事を楽しむことができ、セルフケアも簡単です。

先ほどお伝えした通り、ハイブリッド矯正は、治療の前半をワイヤー矯正で行い歯を大きく動かします。後半戦はマウスピース型 (カスタムメイド) 矯正装置で微調整を行います。治療の後半で「目立たない装置」を利用できるというメリットと、ケースによっては「治療期間が短縮される」というメリットを併せ持つ治療法です。

当院のハイブリッド矯正の「特長」

カウンセリング

実は当院のワイヤー矯正は目立ちません

ワイヤー矯正の画像

ワイヤー矯正というと、金属色が目立つ装置を創造されると思います。しかし当院では歯に付けるブラケット、そしてワイヤーのどちらとも「半透明の装置」を利用しますので、通常のワイヤー矯正とは比較にならないほど目立ちません。またこの目立ちにくいワイヤー装置は通常「別料金」となることが多いのですが、当院では追加費用を頂かずに対応しています。詳細は「目立ちにくい表側矯正」のページをご覧ください。

ハイブリッド矯正治療の「流れ」

1初診・カウンセリング

まず、歯並びで気になっている点を詳しくお聞きします。次に、現状のお口の状態を細かく確認し、最適だと考えられる治療法をご提案します。

2診断結果・治療計画のご説明

カウンセリングの画像

検査結果を基に、患者さんに最適な治療法をご提案いたします。

また、シミュレーションソフトを活用して、歯並びがどのように変化していくかを視覚的にご確認いただけます。治療は患者さんの同意を得てから進めますので、不安や疑問があればいつでもお気軽にお問合せください。

 

3ワイヤー矯正の開始

ワイヤー矯正イラスト

まずワイヤー矯正では歯を大きく動かします。ワイヤーを交換した後、数日間は違和感や痛みを感じることがありますが、ほとんどの方は1週間も経てば慣れてきます。

4マウスピース型 (カスタムメイド) 矯正装置の開始

マウスピースの画像

ワイヤー矯正である程度歯を動かせたら、マウスピース型 (カスタムメイド) 矯正装置で微調整していきます。

5保定期間

マウスピースの画像

歯並びが計画通りに整ったら、最期は「リテーナー(保定装置)」の装着に進みます。初めは食事と歯磨きの時間以外は装着し、その後少しずつ装着時間を短くしていきます。最終的には「就寝時」だけの装着になります。

マウスピース矯正/ワイヤー矯正 個別相談

初診「個別」相談へのご案内

当院では、患者さんが抱えていらっしゃるお口のお悩みや疑問・不安などにお応えする機会を設けております。どんなことでも構いませんので、私たちにお話ししていただけたらと思います。
ご興味がある方は下記からお問い合わせください。

お電話でのご予約・ご相談 03-6455-2383※13:00~15:00は電話が繋がりません

〒150-0041
東京都渋谷区神南1丁目20番17号BC神南 PROPERTY 6F