表側ワイヤー矯正

診療
時間

【平日】 10:00-13:00/15:00-19:30

【土日】 10:00-13:00/14:00-18:00

※休診日:月曜、祝日

白いワイヤーやクリアブラケットを使用した目立ちにくい表側矯正。短期間で歯並びを整えるワイヤー矯正・スピード矯正

お電話でのご予約・ご相談 03-6455-2383 ※13:00~15:00は電話が繋がりません

渋谷ルーブルの表側矯正は
徹底的に「目立たない」

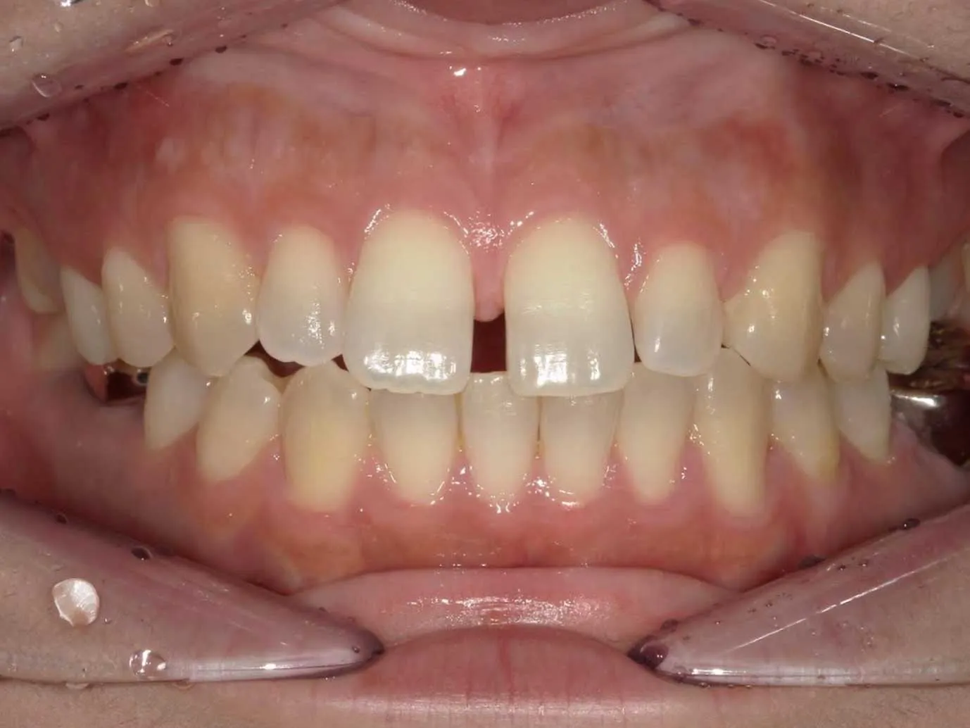
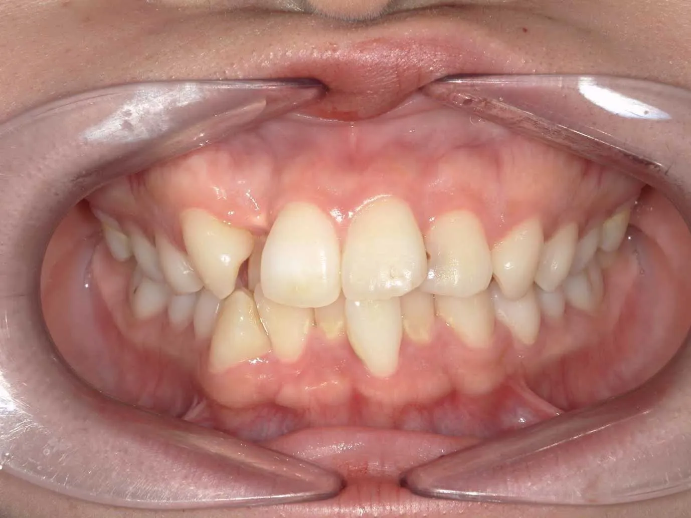
  • 治療前
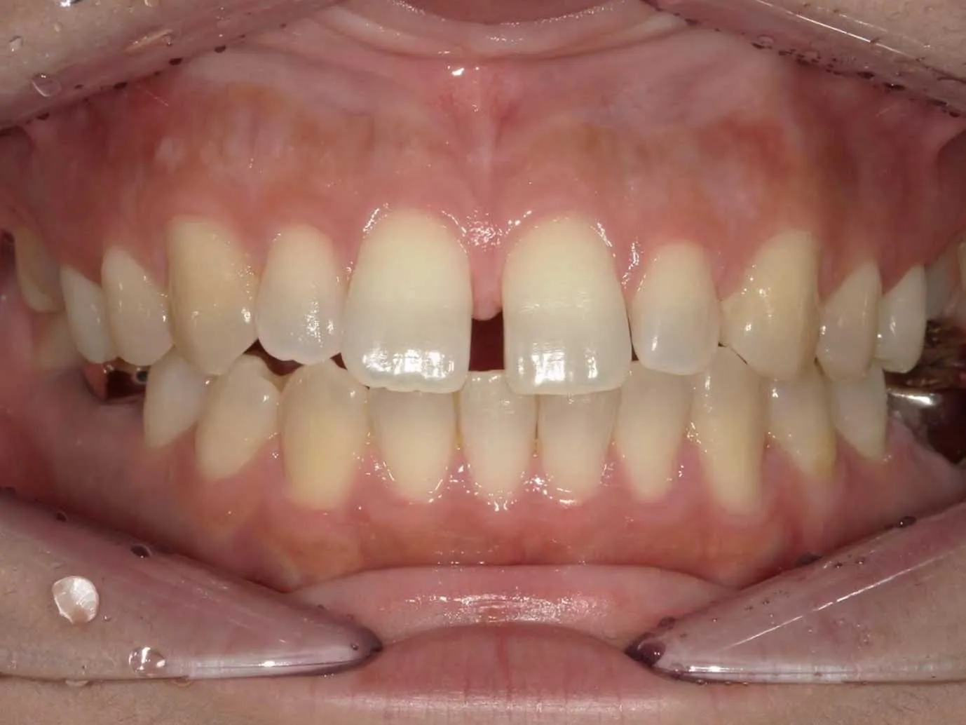
  • 治療後
【主訴】歯のガタつき
【診断結果】叢生
【治療開始時の年齢】30歳
【治療内容】表側ワイヤー矯正
【抜歯部位】上下左右4番目
【治療経過】後戻り無
【治療期間】1年9ヵ月
【治療費用】748,000円
【リスク・副作用】
治療初期の段階では痛みや不快感が生じる可能性がある。適切に歯磨きをしないと虫歯になる可能性が高くなる。個人差により予想された治療期間より長くなる場合がある。治療後はリテーナーを装着しないと後戻りしてしまうリスクがある。
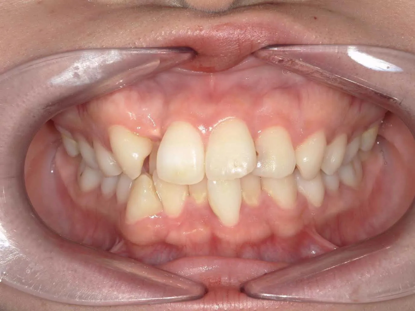
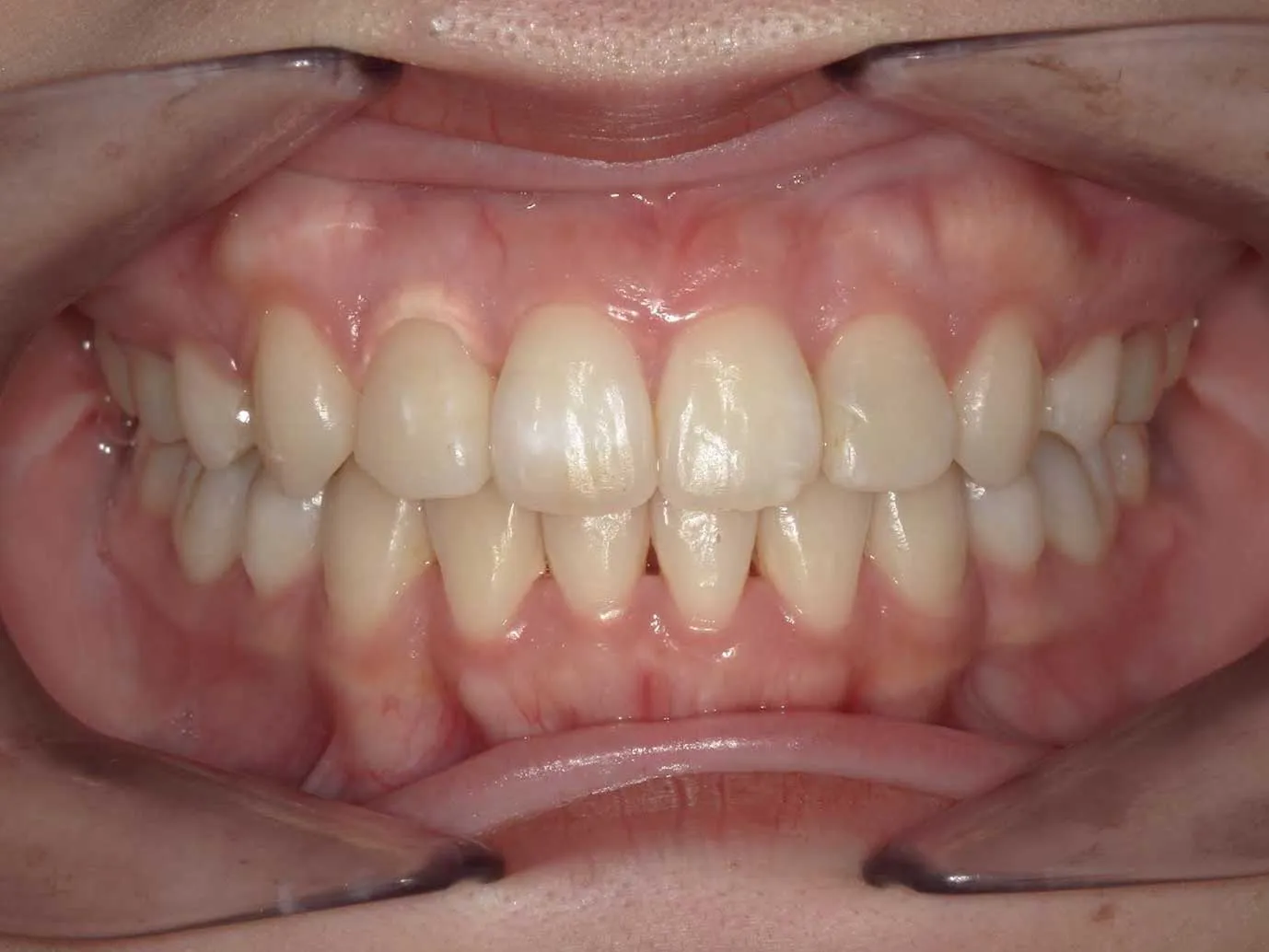
  • 治療前
  • 治療後
【主訴】ガミースマイル
【診断結果】上顎前突
【治療開始時の年齢】26歳
【治療内容】表側ワイヤー矯正
【抜歯部位】上下左右4番目
【治療経過】後戻り無
【治療期間】2年6ヵ月
【治療費用】666,000円
【リスク・副作用】
治療初期の段階では痛みや不快感が生じる可能性がある。適切に歯磨きをしないと虫歯になる可能性が高くなる。個人差により予想された治療期間より長くなる場合がある。治療後はリテーナーを装着しないと後戻りしてしまうリスクがある。
  • 治療前
  • 治療後
【主訴】すきっ歯が気になる
【診断結果】すきっ歯
【治療開始時の年齢】35歳
【治療内容】表側ワイヤー矯正
【抜歯部位】上下左右4番目
【治療経過】後戻り無
【治療期間】10ヵ月
【治療費用】715,000円
【リスク・副作用】
治療初期の段階では痛みや不快感が生じる可能性がある。適切に歯磨きをしないと虫歯になる可能性が高くなる。個人差により予想された治療期間より長くなる場合がある。治療後はリテーナーを装着しないと後戻りしてしまうリスクがある。
マウスピース矯正/ワイヤー矯正 個別相談

幅広い症例に対応できる「表側矯正」

水谷先生(歯科医師)

表側矯正」は、「ブラケット矯正」や「ワイヤー矯正」とも呼ばれる治療法で、歯の表側にブラケットやワイヤーを装着して行う治療法です。

この治療法は、金属製のブラケットやワイヤーなどの装置が目立ちやすいため、治療中の見た目が気になると一部の患者さんの間では敬遠されてきました。しかし、実際には「歯を動かす」点で非常に多くのメリットがあります。

例えば、次の点はマウスピース型 (カスタムメイド) 矯正装置にはないメリットと言えます。

✅幅広い症例に対応できる
✅装置のつけ忘れがない

また、当院ではブラケットやワイヤーを「白色」や「透明」なものにすることで、治療中の見た目への配慮も行っております。こうした理由から、最近ではあえて表側矯正を選択される患者さんもいらっしゃいます。ご自身に最適な治療装置についてお悩みの方は、まずはお気軽にご相談いただければと思います。

渋谷ルーブルの「徹底的に目立たない」表側矯正とは?

ワイヤー矯正の画像

表側矯正にはいくつかの種類があります。下に行けば行くほど「目立たない装置」になります。

✅ブラケットもワイヤーも「金属」
✅ブラケットは「白色で目立たない素材」、ワイヤーは「金属」
✅ブラケットもワイヤーも「白色で目立たない素材」

当院では、ブラケットもワイヤーも「白色で目立たない素材」を利用しています。もちろん追加費用なしになります。ご紹介します。

セラミックブラケット(クリッピー)

クリッピーシステム矯正装置

ブラケットに「セラミック」を使用することで見た目が気になりにくくなります。当院のセラミックブラケットは「クリッピーシステム」と呼ばれるセルフライゲーション機能を備えた矯正装置です。

セルフライゲーションとは、ワイヤーの摩擦が少ない特徴を持つため、よりスムーズな歯の移動が可能になります。治療期間を短縮したい方にもおすすめです。

サファイヤブラケット(ラディアンス)

サファイアクリスタル矯正装置

ブラケットに「サファイアクリスタル」を使った装置です。サファイアクリスタルは、ダイヤモンドに次いで硬い材質なため、強度が非常に高いという特徴があります。また、透明度が高く、歯とも自然に馴染むため、見た目も目立ちにくいです。表面が滑らかなため、ワイヤーとの摩擦が少なく歯が動きやすいため、見た目の美しさ、治療期間の短縮を求める患者さんにおすすめです。

コラム治療期間を「短縮」するために

粟田先生と患者さんの画像

矯正治療と聞くと、次のようなイメージをお持ちの方もいらっしゃるのではないでしょうか。

・治療が終わるまでとにかく時間がかかる・・・
・抜歯しないと治療できない・・・

当院ではこれらを解消するために必要に応じて「インプラントアンカーの活用」「ディスキングによるスペース確保」を行っています。それぞれ、ご説明します。

「インプラントアンカー」の活用(無料)

矯正用アンカースクリュー

インプラントアンカーは、歯の移動を効果的に行うために歯茎や顎の骨に一時的に埋め込む小さな「ネジ状の装置」です。これを利用することで、動かしたい歯にピンポイントで必要な力を加えることができるため、治療期間を短縮できます。また詳細は割愛しますが、インプラントアンカーを利用することで、通常は抜歯すべき歯を「抜歯せずに」治療を行うこともできます。

「ディスキング」によるスペース確保

ルーペで治療する歯科医師

ディスキングは歯と歯の間のエナメル質を少し削ることで、歯を並べるための「スペースを確保する術式」です。

主に抜歯をせずに歯並びを整えたい場合や、軽度から中等度の叢生(ガタガタした歯並び)を解消する際に行います。抜歯を回避できる他、治療期間を短縮できます。

 

コルチコトミー(外科)

コルチコトミー治療

コルチコトミーとは、歯の移動を早めるために、歯槽骨(歯を支える骨)の表面に小さな切れ込みを入れる「外科手術」を併用とする治療方法です。歯槽骨にあえて傷をつけることで、骨の代謝が一時的に活性化し、歯の移動が速くなります。

また、骨に切れ込みを入れるため、その分スペースができ、通常であれば抜歯が必要なケースも、抜歯なしで治療を行うことが可能になります。

通常の矯正治療よりも「約30%」ほど治療期間を短縮できるため、早く矯正治療を終えたい方におすすめです。

表側矯正の「メリット」

ドクター、スタッフと患者さん

表側矯正のメリットは次のとおりです。

メリット1さまざまな症例に対応できる

歯並びの症状バナー

表側矯正」はマウスピース型 (カスタムメイド) 矯正装置と比較し、難症例(抜歯ケースなど)にも柔軟に対応できるため、ほんどの歯並びに対応できるという特徴があります。そのため、「他院でマウスピース型 (カスタムメイド) 矯正装置を断られた」という方でも、ワイヤー矯正なら対応できることがほとんどです。

メリット2発音がしやすい

女性の画像

裏側矯正」では、装置が舌に触れるため違和感があります。また、マウスピースを装着する「マウスピース型 (カスタムメイド) 矯正装置」では、口の中に違和感が生じ、どちらも発音がしにくくなります。一方、「表側矯正」ではこれらの矯正方法と比べて、治療中でも発音がしやすいというメリットがあります。

表側矯正の「デメリット」

表側矯正」のデメリットは以下のとおりです。

デメリット1矯正装置が目立つ

マウスピース型 (カスタムメイド) 矯正装置や裏側矯正と比較すると、表側表側矯正の最大のデメリットは、矯正していることが周囲に分かってしまう点です。しかし、先ほどご紹介しましたた、当院のワイヤー矯正は「目立たない」ことが最大の特徴ですので、興味のある方はお問い合わせください!

デメリット2食べ物が引っかかってしまう

表側矯正は食事中に舌が矯正装置に当たることがないため、食事を楽しむことができます。しかし、食後には食べ物が矯正装置に「挟まっていることがあります。自分で気づけないケースもあるため、食後はしっかりと鏡を見てチェックする必要があります。

デメリット3口元に厚みが出る

歯の表側に矯正装置をつけるため、治療中は「口元に厚み」が出てしまいます。

今人気の「ハイブリッド矯正」にも対応しています!

ハイブリッド矯正

当院ではハイブリッド矯正も行っております。ハイブリッド矯正は、ワイヤー矯正のメリットとマウスピース型 (カスタムメイド) 矯正装置のメリットを掛け合わせた治療法です。治療の前半に、ワイヤー矯正で大きな歯の移動を行い、治療後半にマウスピース型 (カスタムメイド) 矯正装置で微調整を行うことで、「治療期間の短縮」と「審美性を両立」します。

マウスピース矯正/ワイヤー矯正 個別相談

初診「個別」相談へのご案内

当院では、患者さんが抱えていらっしゃるお口のお悩みや疑問・不安などにお応えする機会を設けております。どんなことでも構いませんので、私たちにお話ししていただけたらと思います。
ご興味がある方は下記からお問い合わせください。

お電話でのご予約・ご相談 03-6455-2383※13:00~15:00は電話が繋がりません

〒150-0041
東京都渋谷区神南1丁目20番17号BC神南 PROPERTY 6F