マウスピース型 (カスタムメイド) 矯正装置

診療
時間

【平日】 10:00-13:00/15:00-19:30

【土日】 10:00-13:00/14:00-18:00

※休診日:月曜、祝日

渋谷でマウスピース矯正なら渋谷ルーブル歯科。目立たないインビザラインによる痛みに配慮した最短3ヶ月からの歯列矯正

お電話でのご予約・ご相談 03-6455-2383 ※13:00~15:00は電話が繋がりません

安心実績あります

1年間
2023年度 248
2024年度 224
2025年度 268
患者数実績
2023年度  662
2024年度  942
2025年度 1017
総矯正患者数
2023年度 1280
2024年度 1560
2025年度 3089

マウスピース型 (カスタムメイド) 矯正装置

77万円~88万でご提供!

マウスピース
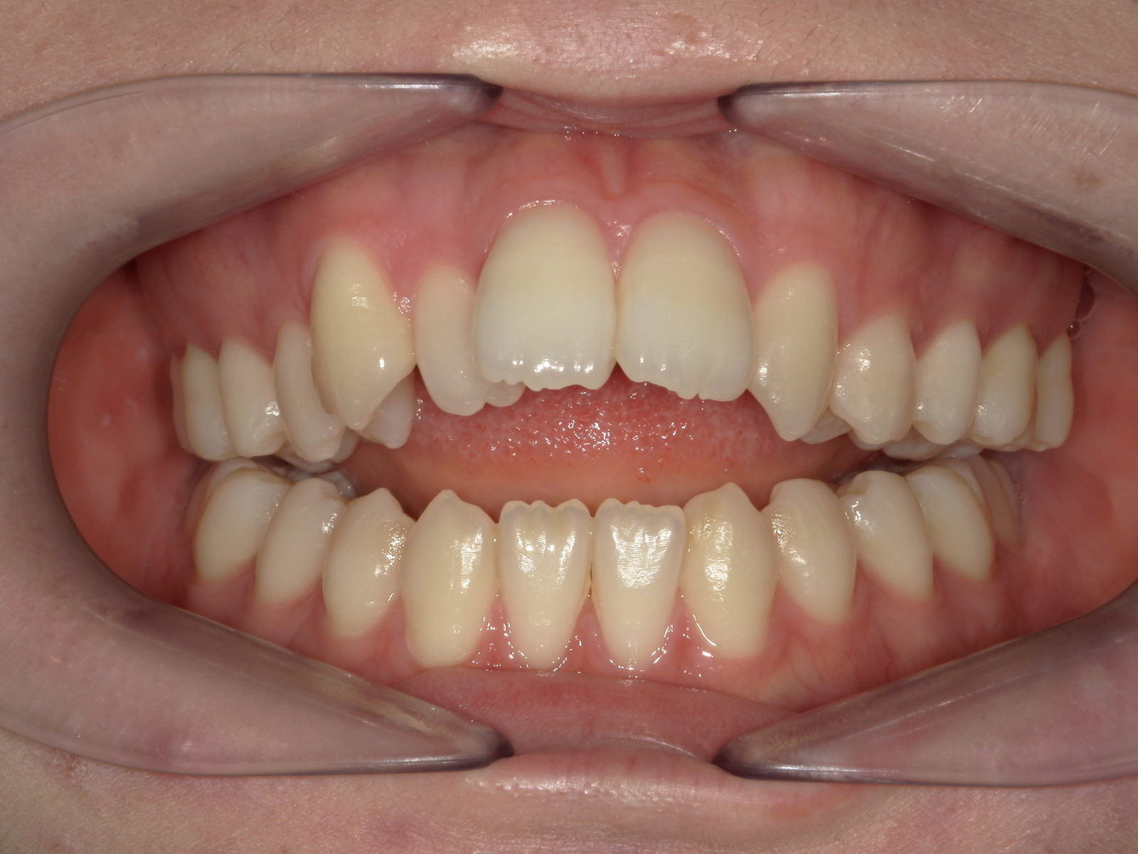
  • 治療前
  • 治療後
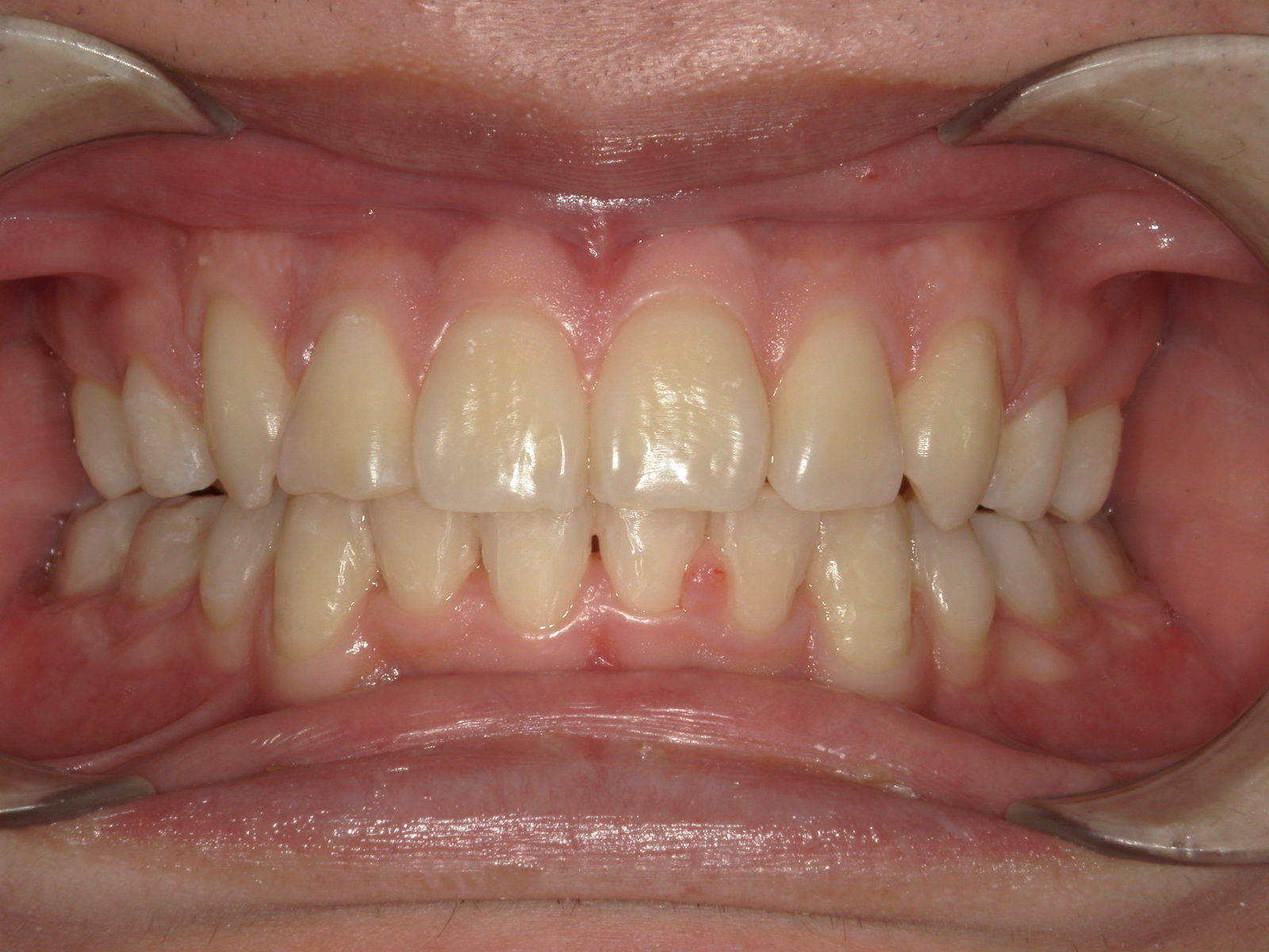
【主訴】お口ポカン
【診断結果】開咬
【治療開始時の年齢】25歳
【治療内容】マウスピース型 (カスタムメイド) 矯正装置
【抜歯部位】上下左右4番目
【治療経過】後戻り無
【治療期間】2年
【治療費用】882,200円
【リスク・副作用】
治療初期の段階では痛みや不快感が生じる可能性がある。適切に歯磨きをしないと虫歯になる可能性が高くなる。個人差により予想された治療期間より長くなる場合がある。治療後はリテーナーを装着しないと後戻りしてしまうリスクがある。
  • 治療前
  • 治療後
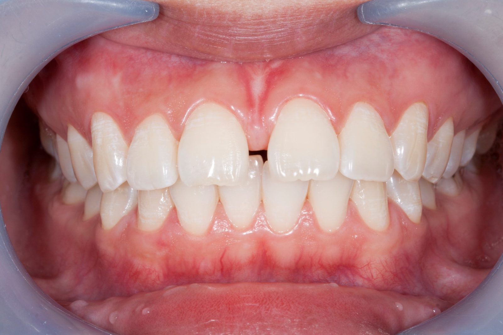
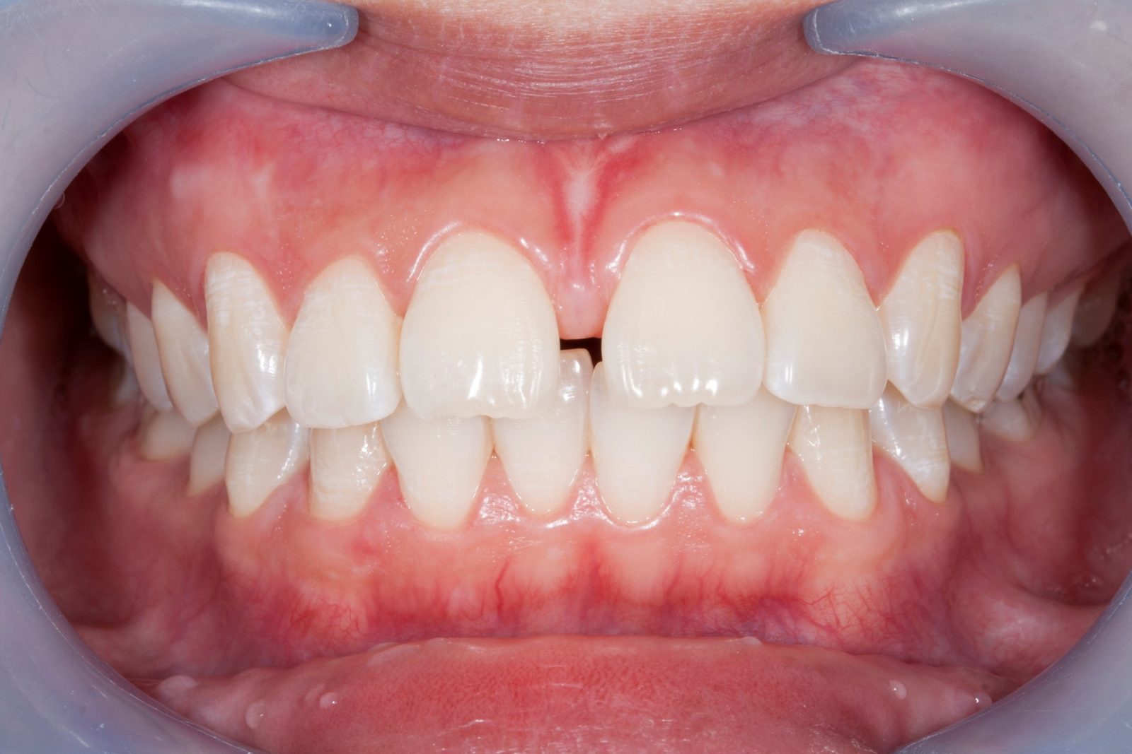
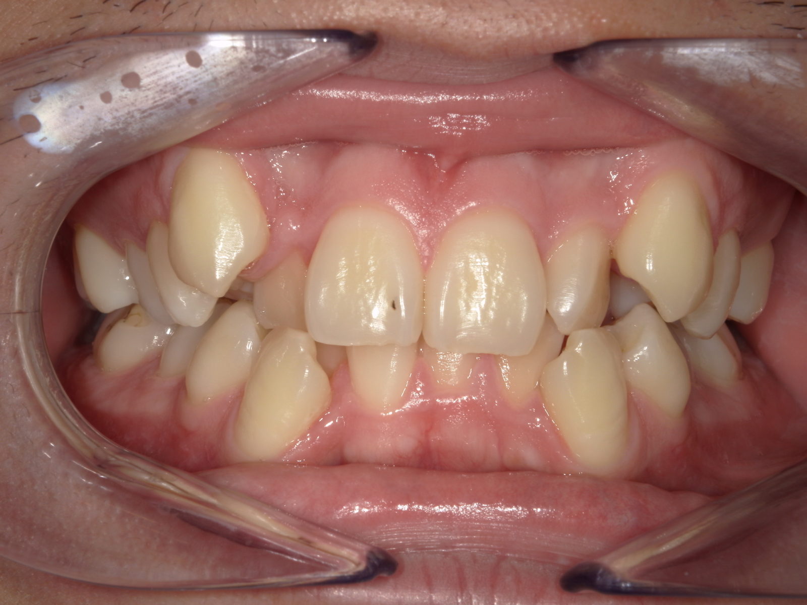
【主訴】出っ歯が気になる
【診断結果】上顎前突
【治療開始時の年齢】18歳
【治療内容】マウスピース型 (カスタムメイド) 矯正装置
【抜歯部位】上下左右4番目
【治療経過】後戻り無
【治療期間】1年8ヶ月
【治療費用】882,200円
【リスク・副作用】
治療初期の段階では痛みや不快感が生じる可能性がある。適切に歯磨きをしないと虫歯になる可能性が高くなる。個人差により予想された治療期間より長くなる場合がある。治療後はリテーナーを装着しないと後戻りしてしまうリスクがある。
  • 治療前
  • 治療後
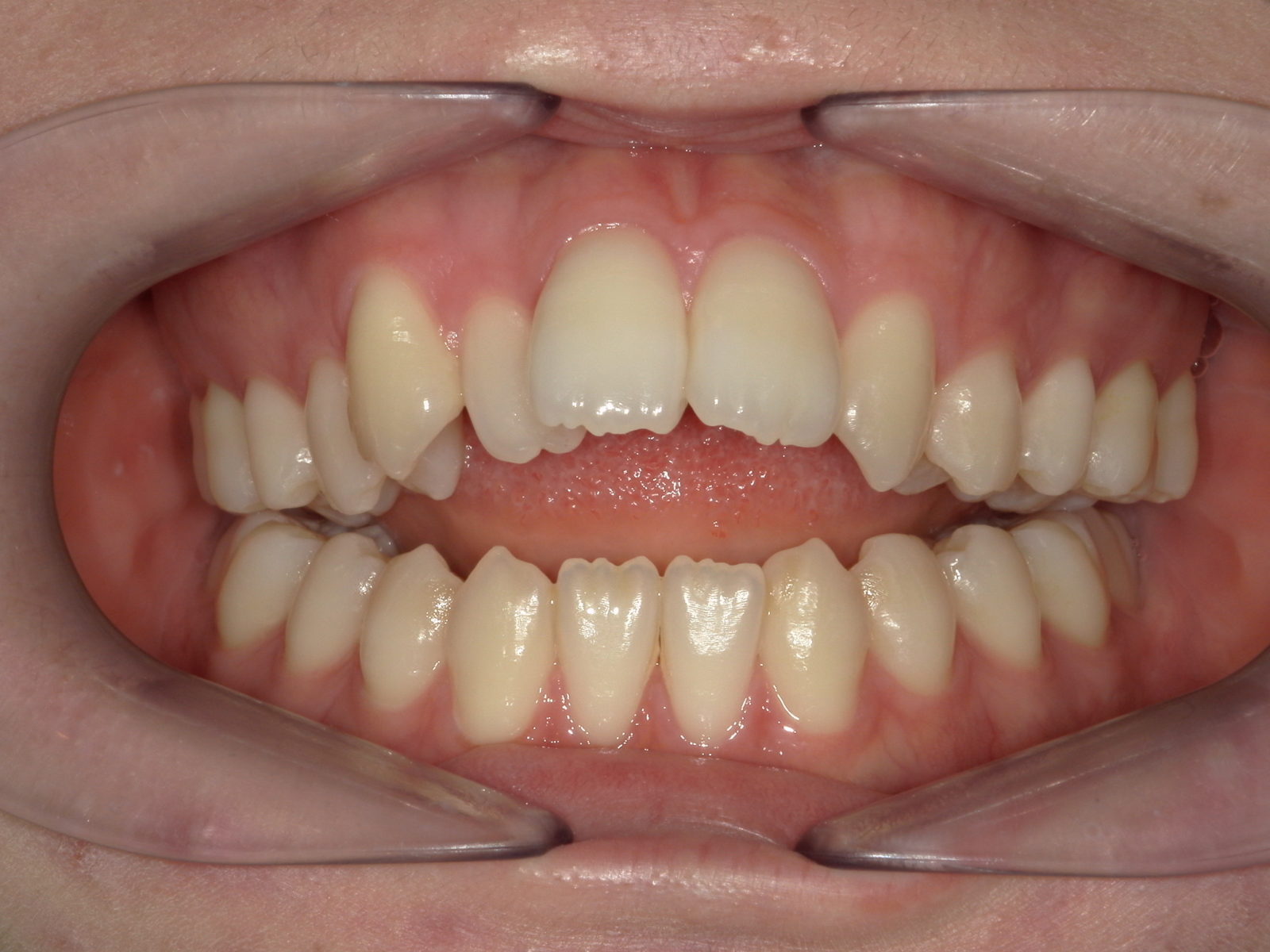
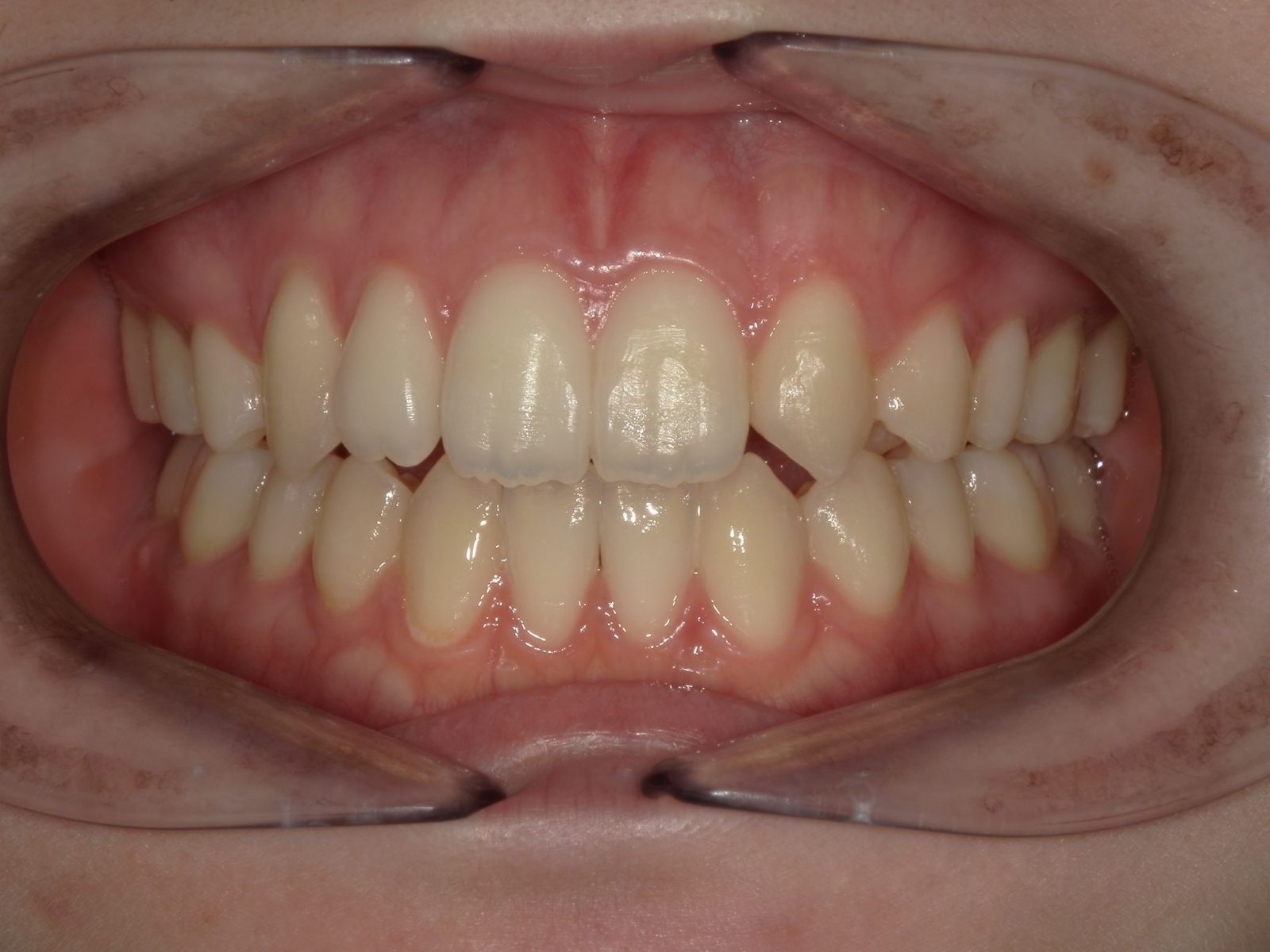
【主訴】歯のガタつき
【診断結果】叢生
【治療開始時の年齢】32歳
【治療内容】マウスピース型 (カスタムメイド) 矯正装置
【抜歯部位】上下左右4番目
【治療経過】後戻り無
【治療期間】2年4ヶ月
【治療費用】937,200円
【リスク・副作用】
治療初期の段階では痛みや不快感が生じる可能性がある。適切に歯磨きをしないと虫歯になる可能性が高くなる。個人差により予想された治療期間より長くなる場合がある。治療後はリテーナーを装着しないと後戻りしてしまうリスクがある。
マウスピース矯正/ワイヤー矯正 個別相談

選べる「2つ」のマウスピース型 (カスタムメイド) 矯正装置

水谷先生(歯科医師)

マウスピース型 (カスタムメイド) 矯正装置」の特徴は透明で目立ちにくく、ワイヤー矯正より痛みが少ないという点が挙げられます。また、自分で取り外しができます。そのため、食事の制限がなく、セルフケアも簡単です。

渋谷ルーブル歯科・矯正歯科では、患者さんの要望やお口の状態に合わせて、2つのメーカーのマウスピース型 (カスタムメイド) 矯正装置を使い分けています。それぞれの特徴をご紹介します。

16,500円から始められる「クリアライン」

クリアラインマウスピース

「ワイヤー矯正の痛みが心配・・・」
「見た目が目立つ装置はできるだけ避けたい・・・」
「矯正治療ってお金がかかるイメージがある・・・」

そうした方におすすめなのが、透明のマウスピースを使った「クリアライン」矯正です。クリアラインは当院のグループ医院が開発したオリジナルのマウスピース型矯正装置です。そのため、初回費用16,500円(税込)からマウスピース矯正を始めることができます。

以下、クリアラインの特徴をご紹介します。

気になる部分の矯正に最適!

すきっ歯

「クリアライン」は比較的軽度の歯並びの乱れを整えるのに適しています。見た目に影響を与える「前歯12本」に特化した矯正なので、大きく歯を動かさなければならないケースでは「クリアライン」以外の治療法をおすすめする場合があります。

治療費の目安は?

費用目安

「クリアライン」は1回片顎16,500円から始められ(2回目以降は片顎27,500円)歯並びの動きに応じて複数のマウスピースを交換しながら矯正を進めます。そのため患者さんのお口の状態によって治療期間、費用が異なります。軽度の歪みなら8~13万、中度の歪みやガタつきでしたら13~18万、中度以上では18~29万円というのが大体の治療費の目安です。「中度以上の方でも29万円以内で治療できる」のはグループ医院だからこそできる価格です。通常、中度以上の歯並び矯正は60万円前後かかるのが一般的です。

なぜこんなに安いの??

クリアライン価格

価格のせいで矯正をあきらめてほしくない、という強い願いから「クリアライン」が誕生しました。リーズナブルな価格が実現できたのはグループ医院の企業努力になります。

✅原価ギリギリで価格を設定
矯正をあきらめてほしくない、多くの方にきれいな口元を手に入れてほしい、という気持ちから「クリアライン」は原価ギリギリで価格を設定しました。これはグループ医院だからこそできたことです。

✅前歯12本にあえて特化
「クリアライン」で動かすのは「上の前歯6本、下の前歯6本の12本のみ」です。動かす歯が少ないので、その分治療期間を短くすることができ、リーズナブルな価格に繋がっています。

✅無駄な工程を削減
「クリアライン」はワイヤー矯正と異なり、患者さんお一人の処置時間が短くなります。そのため、歯科医師、衛生士の技術料などの人件費を大幅にカットすることが可能です。従来のワイヤー矯正は細かい作業が多く、手間がかかっていたので、その分の人件費を考えれば、「クリアライン」はかなりリーズナブルになっていると言えると思います。

世界シェアNo.1の「インビザライン」

インビザライン

世界100ヶ国以上で使用され、1400万件以上の症例を誇るのが「インビザライン」です。世界シェアはNo.1のこの数字は、世界中のドクターたちから信頼されている証だと言えます。また、症例数が多いということは、それだけさまざまなケースに対応できる装置だと言えます。

当院ではこのインビザラインを77万円~88万円でご提供しています。インターネットで調べて頂くとわかると思いますが、この価格帯でインビザラインを提供している医院はほぼありません。これも先ほどお伝えした通り、「多くの方に矯正治療で笑顔になって欲しい」という当法人の想いから企業努力で達成した価格になります。

デンタルローンを利用していただくことで月額4,300円~12,000円で治療できます。

インビザラインには「目立たない」「取り外しできる」こと以外に次のような特徴があります。

特徴1歯並びのシミュレーションが可能

アイテロ

光学印象を用いて型取りを行い、そのデータを基に治療後の歯並びをシミュレーションします。その際に使用するのが「iTero(アイテロ)」と呼ばれる装置です。アイテロは口腔をスキャニングするだけで精密な型取りが行え、治療後の歯並びを事前にイメージできます。理想と現実のギャップが生じにくく、納得して治療を進めることができます。

特徴2多様な症例/難症例にも対応

電球ポイント女性

多様な症例に対応できるという特徴がインビザラインにはあります。マウスピース型矯正装置の中には、ケースによっては適応できな症例もありますが、インビザラインはさまざまな歯並びの問題を治療することが可能です。

例えば、極度な出っ歯や受け口といった、通常のマウスピース矯正では不向きとされる症状でも、インビザラインなら対応できる場合があります。

マウスピースメーカー選びは慎重に

悩むイラスト

マウスピース矯正で歯が動かなかったというケースが起こることがあります。その原因として考えられるのは大きく分けると2つの理由が考えられます。一つは「マウスピースメーカーの問題」、もう一つは「歯科医師の問題」です。

まず、マウスピースメーカーについてです。

現在、世界中には多くのマウスピースメーカーがあり、それぞれに特徴があります。例えば、部分矯正に特化したメーカーや、症例数が少ないメーカーもあります。自分の歯並びに最適なメーカーを選ぶことが重要ですので、治療前にしっかりと確認することをお勧めします。

もう一つの原因として考えられるのは歯科医師の問題です。

マウスピース矯正は治療の多くをAI(人工知能)が担いますが、必ずしも精密な治療が保証されるわけではありません。ケースによっては歯科医師による細かい調整が必要となり、治療成果は歯科医師のスキルに大きく依存します。マウスピース矯正を検討中の方は、これらの点を参考にして歯科医院を選んでください。

他院で行った矯正のやり直しや、後戻り矯正にも対応

悩む女性

他の歯科医院で矯正治療を受けたもののイメージと違った、あるいは過去に矯正治療を受けたが後戻りしてしまった、といったケースにも渋谷ルーブル歯科・矯正歯科では対応しています。

これらの治療は、初めて矯正を行う時と同じくらい「治療費」や「治療期間」がかかると心配されるかもしれませんが、ほとんどの場合、治療費も期間も少なく済みます。

後戻りが気になる方、再矯正を検討されている方はぜひ一度ご相談ください。

マウスピース矯正/ワイヤー矯正 個別相談

マウスピース型 (カスタムメイド) 矯正装置の流れ

STEP1カウンセリング

カウンセリングの画像

まずは歯並びに関するお悩みをお聞かせください。渋谷ルーブル歯科・矯正歯科では無料相談を実施しておりますので、どうぞお気軽にお問い合わせください。

STEP2各種検査/初期治療

カウンセリング中

虫歯や歯周病があると矯正治療を行うことはできません。そのため治療を始める前に、レントゲン撮影などでお口の状態をチェックします。虫歯や歯周病が見つかった場合は、まずその治療を優先して行います。

STEP3マウスピースの製造

マウスピース製造

患者さんのお口のデータをアメリカのアライン社に送信し、そのデータに基づいてマウスピースが製造されます

STEP4治療の開始

マウスピースの画像

マウスピースが届いたら、使用上の注意点をお伝えします。マウスピース矯正は患者さんの協力が不可欠で、「1日20時間以上の着用」が必要です。しっかりと使用時間を守ってください。

STEP5保定期間

マウスピースの画像

リテーナー(保定装置)」は治療後の後戻りを防ぐために装着する装置です。最初は食事と歯磨き以外の時間に着用し、その後は徐々に就寝時のみの着用に移行します。

初診「個別」相談へのご案内

当院では、患者さんが抱えていらっしゃるお口のお悩みや疑問・不安などにお応えする機会を設けております。どんなことでも構いませんので、私たちにお話ししていただけたらと思います。
ご興味がある方は下記からお問い合わせください。

お電話でのご予約・ご相談 03-6455-2383※13:00~15:00は電話が繋がりません

〒150-0041
東京都渋谷区神南1丁目20番17号BC神南 PROPERTY 6F